Szkolenie z Fotografii Stomatologicznej – Zwiększ Efektywność Swojej Praktyki w Twoim gabinecie.

Czy chcesz podnieść standardy swojej praktyki stomatologicznej? Moje profesjonalne szkolenie z fotografii stomatologicznej pozwoli Ci na zdobycie kluczowych umiejętności w zakresie dokumentacji oraz promocji usług stomatologicznych.
Dlaczego fotografia stomatologiczna jest ważna?
W dzisiejszych czasach, efektywna komunikacja z pacjentem jest niezbędna. Fotografie przed i po zabiegach nie tylko pomagają w dokumentacji medycznej, ale również zwiększają zaufanie pacjentów. Umożliwiają one lekarzom stomatologom przedstawienie efektów pracy, co jest istotne w budowaniu marki i pozyskiwaniu nowych klientów.



Co oferuję? Poznajmy się!
Podczas szkolenia:
- Nauczysz się technik profesjonalnego fotografowania, które uwzględniają odpowiednie oświetlenie oraz kąty.
- Zdobędziesz wiedzę o sprzęcie fotograficznym dedykowanym fotografii stomatologicznej.
- Poznasz zasady obróbki zdjęć, aby uzyskać obrazy najwyższej jakości.
- Dowiesz się, jak wykorzystać zdjęcia w marketingu usług stomatologicznych.
Cześć!
Nazywam się Jakub Gąsiorowski – jestem fotografem i szkoleniowcem z ponad 10 letnim doświadczeniem, prowadzę cyklicznie szkolenia indywidualne i grupowe dla fotografów i sektora B2B zarówno w studiach fotograficznych jak i u klienta. Rocznie szkolę ponad 100 lekarzy w zakresie fotografii stomatologicznej.
Światło błyskowe i ciągłe mam opanowane do perfekcji i tą wiedzą chciałbym się z Tobą podzielić.

Dla kogo jest to szkolenie?
Szkolenie jest skierowane do stomatologów, asystentów dentystycznych oraz wszystkich zainteresowanych poprawą jakości dokumentacji wizualnej w pracy stomatologicznej. Bez względu na poziom doświadczenia, nasze kursy dostosowane są do indywidualnych potrzeb uczestników.
Zainwestuj w swoją przyszłość!
Nie czekaj! Zapisz się na nasze szkolenie z fotografii stomatologicznej już dziś i wyróżnij swoją praktykę na konkurencyjnym rynku.
Oferuję elastyczne terminy oraz przystępne ceny.
Program kursu: teoria + dużo praktyki!
- Wybór Sprzętu Fotograficznego:
- Omówienie kluczowych parametrów aparatu i lampy błyskowej.
- Wybór odpowiedniego sprzętu do fotografii stomatologicznej.
- Dodatkowe Niezbędne Akcesoria:
- Praktyczne wskazówki dotyczące akcesoriów poprawiających jakość zdjęć.
- Niezbędne dodatki podczas fotografowania w stomatologii.
- Ustawienia Aparatu i Lampy Błyskowej:
- Precyzyjne instrukcje dotyczące optymalnych ustawień dla doskonałych efektów.
- Dopasowanie parametrów do różnych warunków oświetleniowych.
- Wybór Formatu Pliku:
- Znaczenie różnych formatów plików w fotografii stomatologicznej.
- Optymalne ustawienia formatu dla przechowywania danych.
- Uwagi Praktyczne Przed Rozpoczęciem Fotografowania:
- Przygotowanie do sesji fotograficznej w gabinecie stomatologicznym.
- Sprawdzone praktyki przed pierwszym zdjęciem.
- Uwagi Praktyczne W Trakcie Fotografowania:
- Wskazówki dotyczące reagowania na zmienne warunki podczas sesji.
- Optymalne dostosowanie ustawień w trakcie pracy.
- Skala Odwzorowania:
- Wyjaśnienie skal odwzorowania w kontekście fotografii stomatologicznej.
- Zastosowanie różnych skal do uzyskania pożądanych efektów.
- Osie Fotografowania:
- Znaczenie właściwej osi w kontekście fotografii stomatologicznej.
- Techniki ustawiania osi dla najlepszych rezultatów.
- Kadrowanie, Ostrzenie i Powtarzalność Projekcji:
- Techniki kadrowania, precyzyjne ostrzenie i utrzymanie powtarzalności projektu.
- Kluczowe elementy skutecznej dokumentacji fotograficznej.
- Wzór Prawidłowej Dokumentacji:
- Przykłady i wytyczne dotyczące tworzenia kompleksowej dokumentacji fotograficznej.
- Standardy branżowe i kryteria oceny dokumentacji.
- Ważna Rola Asysty:
- Współpraca z asystą w trakcie sesji fotograficznej.
- Zrozumienie roli asysty w uzyskaniu doskonałych zdjęć.
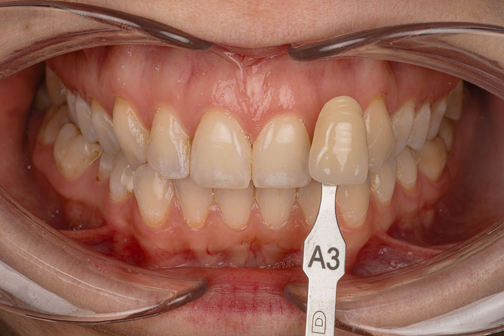
- Fotografia Wewnątrzustna:
- Techniki i wyzwania związane z fotografowaniem wewnątrz jamy ustnej.
- Optymalne ustawienia do uzyskania szczegółowych zdjęć.
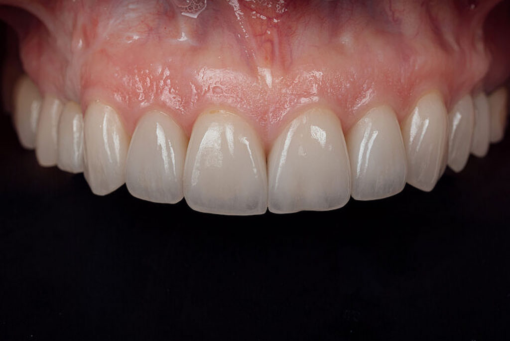
- Fotografia Uśmiechu:
- Estetyka fotografii uśmiechu w stomatologii.
- Podkreślanie pozytywnych aspektów w fotografii pacjenta.
- Fotografia Portretowa:
- Kluczowe elementy udanej fotografii portretowej w kontekście stomatologii.
- Wybór odpowiednich kadrów i perspektyw.
- Atelier do Fotografii Portretowej:
- Praktyczne wskazówki dotyczące tworzenia profesjonalnych portretów.
- Wykorzystanie atelier w fotografii stomatologicznej.
- Najczęstsze Błędy w Fotografii Stomatologicznej:
- Analiza powszechnych błędów i sposoby ich unikania.
- Doskonalenie umiejętności przez eliminację typowych problemów.
- Estetyka Zdjęć na Najwyższym Poziomie — Sprawdzone Metody oraz Niezbędne Akcesoria:
- Rady dotyczące estetyki zdjęć w stomatologii.
- Wypróbowane metody i niezbędne akcesoria do uzyskania doskonałych efektów.
- Fotografia Obiektów w Stomatologii:
- Techniki fotografowania różnych obiektów stomatologicznych.
- Przykłady zdjęć obiektów do celów diagnostycznych i edukacyjnych.
- Praktyczne Studio:
- Organizacja efektywnego studia fotograficznego w placówce stomatologicznej.
- Zapewnienie odpowiednich warunków do udanych sesji.
- Prosta Archiwizacja:
- Systematyczna archiwizacja zdjęć stomatologicznych.
- Proste i skuteczne metody przechowywania danych fotograficznych.
II. Część Praktyczna (5h-6h)
- Ćwiczenia w Zespołach Lekarz/Pacjent/Asysta:
- Praktyczne ćwiczenia obejmujące kompleksowe portfolio zdjęć pacjenta.
- Fotografia portretowa, zewnątrzustna i wewnątrzustna wykonywane przez uczestników.
- Ćwiczenia z Fotografii Produktowej:
- Ćwiczenia z fotografowania modeli.
- Analiza wykonanych zdjęć podczas ćwiczeń.
Różne techniki oświetlenia Twoich prac protetycznych:







Zniżki na sprzęt i dostęp do darmowych poradników video!
Podsumowanie i Kontakt:
- 2 godziny teorii i 5-6 godzin praktyki!
- fotografia wewnątrzustna, dokumentacja portretowa pacjenta oraz zdjęcia swoich prac
- zniżki na sprzęt fotograficzny oraz wsparcie zakupowe
- dostęp do darmowych materiałów
- koszt kurs dla gabinetu: ustalany indywidualnie dla grupy | min. 4 osoby / max 10 osób.
- zapisy: gasiorowski.kuba@gmail.com
- tel.: 507 017 707

Dołącz do grona zadowolonych kursantów!
Do zobaczenia w Twoim gabinecie :)
Jakub.

